FASTBRACES
Misaligned teeth can affect the look and function of your smile. Orthodontics can help, but it can take years to straighten your teeth.
The dentists at My Mouth Dental/My Kidz Mouth Dental use FASTBRACES® to straighten teeth quickly and comfortably.
Learn whether FASTBRACES at our Rowlett, TX, office can straighten your teeth or your child's teeth in a matter of months instead of years.
How Does FASTBRACES Technology Work To Efficiently Straighten Your Teeth?
- FASTBRACES is an orthodontic alternative that uses the same basic process as traditional metal braces, using gentle pressure to align the teeth to correct overbites, underbites, gapped teeth, and more. However, FASTBRACES does this in a simpler, yet more technologically advanced way.
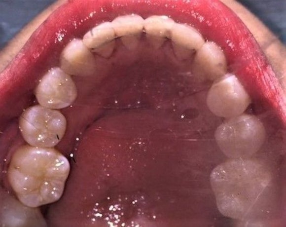
- FASTBRACES uses specialized elbow-shaped brackets that are attached to each tooth with a dental adhesive. Only one wire runs through the brackets. This high-tech method shifts both the crown (top) and the roots of your teeth at the same time, speeding up the alignment process.
- By comparison, regular braces use a complicated, bulky series of brackets, wires, and rubber bands that first move the crown of each tooth and then move the roots of your teeth. This two-step process can take much longer than the FASTBRACES method.
Major Benefits of FASTBRACES over Regular Braces
Faster Results
Depending on your case, FASTBRACES can successfully align your teeth in as little as eight to 12 months. Other types of orthodontics, like braces and aligners, typically take 18 to 24 months, if not longer.More Comfortable
Patients at our Rowlett, TX, dental office say they feel very little discomfort with FASTBRACES, probably because they are lighter and more flexible than regular metal braces. Plus, the wire isn't tightened as much with traditional braces.
Potential Savings
Since treatment time can be dramatically shorter, you may not need to pay for as many follow-up appointments as with regular braces.
Safer Treatment
FASTBRACES actually encourages healthy bone growth as your teeth move. Traditional braces can sometimes cause tooth roots to shorten, which isn't ideal.
Explore the Benefits of FASTBRACES By Requesting Your Consultation
Want to straighten your teeth faster than traditional braces or clear aligners? Contact our modern, family-friendly Rowlett, TX, dental practice today to request a FASTBRACES consultation using our online form. You can also reach us by calling (972) 412-5064. If treatment is for a younger patient, Dr. Montoya's wife, board-certified pediatric dentist Ashley Ramsey, will be happy to schedule a time to meet you and your child.
"I'm so excited and grateful."
Our Dentists Are Educated by the Team Behind FASTBRACES

When you visit Dr. Ashley or José Montoya, you'll be working with dentists who have been specifically trained in the FASTBRACES system.
To improve your quality of care, our dentists also prioritize continuing education with the makers of FASTBRACES, since its team is based in nearby Dallas. We can then bring the knowledge from our one-on-one training directly to your appointments.
From answering your questions to staying up-to-date on advanced techniques, this allows us to better treat you and your family's specific needs.
We're Proud to Work With Rowlett, TX, Families
My Kidz Mouth Dental is awesome! They are so patient and great with the Lil ones! My grand baby lives a hour away, but I refuse to take him anywhere else!
View on GoogleDr. Ramsey was great! Some people are just meant to work with children. Overall great place to bring your children.
View on GoogleHow Much Does FASTBRACES Cost? About $4,500
While each case varies due to the custom treatment you'll receive, the typical cost for FASTBRACES with our Rowlett dentists is about $4,500. Your specific treatment cost will largely depend on how complex your needs are and how long your treatment will last.
FASTBRACES is not only more affordable than other orthodontic options. It may actually save you money over time because braces can improve your oral health. As a result, you can potentially avoid costly treatments like root canal therapy, crowns, or dental implants. Not to mention, in select cases, it can provide you with long-term relief from the discomfort caused by crooked teeth.
Achieve a Straight Smile Faster
Striking FASTBRACES Results in Less Than a Year
What to Expect During FASTBRACES Treatment
Our number one goal is for you to receive the right care for your needs, which is why we will honestly tell you your options. To ensure you always come first, we will even refer complicated cases to a trusted local orthodontist if that is better for your smile.
We truly are a family practice and offer FASTBRACES to kids, teens, and adults.
Our Rowlett, TX, Dentists Make Patients Feel at Home
I can never say enough good things about this place. Dr. Montoya and the whole office staff are truly incredible...I drive from Addison just to go to this location and will always do so. Keep up the great work!
View on GoogleI absolutely love it here! All of the staff is very friendly and makes sure you are comfortable and understand everything that they’re doing. They are very quick with getting you in and they make it obvious that you and your teeth are their top priority. I will never leave here. I will be bringing my son here as well. Highly recommend!
View on Google





